
Risikoorientierte Prophylaxe
Individuelle Betreuung statt Schema F
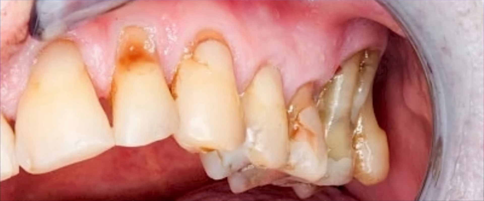
Bist Du bereit, Deine prophylaktischen Behandlungen auf das nächste Level zu heben? Mit dem Fokus auf eine risikoorientierte, individuelle Betreuung, die abseits der Standardverfahren Schema F stattfindet, wirst Du in dieser Fortbildung tiefgreifendes Fachwissen und praxisnahe Kompetenzen erlangen. Erfahre, wie Du relevante Risikofaktoren erkennst und gezielt minimierst, um Deine Patienten effektiver und nachhaltiger zu betreuen. Katja Piecuch, eine erfahrene Dentalhygienikerin, zeigt Dir anhand anschaulicher Fallbeispiele, wie eine erfolgreiche Umsetzung in der Praxis gelingen kann.
Hier finden Sie die passende Fortbildung
Über 6000 Zahnmediziner in Deutschland setzten bereits auf die Lösung von CROCODILE®.












Fortbildung – All in One
Wann und wo auch immer!
Wann und wo auch immer!

So einfach geht Fortbildung online. Wie Netflix nur für Zahnmediziner! Sie und Ihr Team haben Zugriff auf über 430 Fortbildungen von über 80 renommierten Speakern, Fortbildungspunkte, Zertifikate und vieles mehr an einem Ort. Und das als Flatrate ohne versteckte Kosten!
Enorme
Kosteneinsparung
Einmal zahlen und Sie und Ihr Team haben Zugriff auf über 430 Fortbildungen.
Schon für 179 € pro Monat im Monat kann eine Zahnarztpraxis bis zu 20 Mitarbeiter integrieren.

Erhöhte Mitarbeiterzufriedenheit
Ihre Angestellten werden es Ihnen danken!
Sorgen Sie mit unserem Paket für Mitarbeiterzufriedenheit und dem smarten Benefit für potenzielle neue Mitarbeiter.

Steigerung
der Performance
Eine Praxis ist nur so gut wie das schwächste Glied.
Mit Crocodile sorgen Sie für eine ganzheitliche und nachhaltige Weiterentwicklung Ihrer ganzen Praxis.

Die wichtigsten Features
Alle Pro's im Überblick
Flatrate
Bilden Sie sich ohne Limit und frei von Zusatzkosten fort. Mit unserem Abo greifen Sie und alle Angestellten barrierefrei auf alle Fortbildungen zu.
Über 430 Kurse
Erhalten Sie Zugriff auf ein ständig wachsendes Portfolio an Fortbildungen.
Über 80 Speaker
Lernen Sie von renommierten Speakern mit außerordentlicher Expertise in ihren Fachgebieten.
Kompakt und effizient
Unsere Fortbildungen sind kompakt und passen perfekt in Ihren persönlichen Alltag.
Für alle Fachkräfte
Finden Sie Fortbildungen für jede Rolle in Ihrer Praxis. Von A wie Abrechnung bis hin zu Z wie Zahntechnik. Vielfältige Fachbereiche und Spezialisierungen machen Lust auf Weiterentwicklung.
Team Management
Behalten Sie den Fortschritt Ihrer Mitarbeiter im Blick erkennen Sie Eigeninitiative und Potenziale.
CME Punkte
Die Fortbildungen geben Ihnen offizielle CME-Punkte. Erhalten Sie offizielle Zertifikate als Nachweis für abgeschlossene Fortbildungen.
Monatlich kündbar
Bleiben Sie flexibel und setzen Sie Crocodile genau dann ein wann Sie es brauchen.
Unabhängig
Unserer Fortbildungen sind frei von Produktplatzierung, Werbung und unabhängig von der Industrie.
Unabhängig
Unserer Fortbildungen sind frei von Produktplatzierung, Werbung und unabhängig von der Industrie.
Für Einzelnutzer, Praxen, MVZ's und Praxisgruppen
Ob Einzelnutzer, Studierende, die kleine Zahnarztpraxis, Versorgungszentrum, oder gar ganze Praxisgruppen mit mehreren Standorten. Wir haben hier die passende Lösung für Sie.
Die nachhaltige und solide Lösung
Vorteile in Zahlen
49
%
weniger Fortbildungskosten.
Praxen die Crocodile zur Weiterbildung Ihrer Mitarbeiter einsetzen, können im Durchschnitt 49% ihrer Fortbildungskosten senken.
Quelle: Eigene Umfrage (NPS)
94
%
eine erhöhte Mitarbeiterbindung.
Praxen die viele Möglichkeiten zur Weiterbildung geben, erreichen bei 94% eine höhere Mitarbeiterzufriedenheit
Quelle: 2018 Workplace Learning Report - The Rise and Responsibility of Talent Develpopment in the New Labor Market.
84
%
ein erhöhtes Bewerbungsinteresse.
Praxen die viele Möglichkeiten zur Weiterbildung geben, sind für potenzielle Bewerber erheblich interessanter.
Quelle: Mit Bildung binden: Die Rolle von Weiterbildungen im Wettbewerb um die besten Fachkräfte - Weiterbildungsstudie 2023 der Bitkom Akademie und HRpepper Management Consultants
23
%
höhere Grenzerträge je Mitarbeiter.
Praxen die in die Weiterbildung ihrer Mitarbeiter investieren realisieren durchschnittlich 23% höhere Grenzerträge.
Quelle: The Impact of Training on Productivity and Wages: Firm Level Evidence - Jozef Konings & Stijn Vanormelingen - Forschungsinstitutzur Zukunft der Arbeit
89
%
würden Crocodile weiterempfehlen.
Zahnmediziner die Crocodile in ihren Praxen einsetzen, würden es ihren Kollegen weiterempfehlen.
Quelle: Eigene Umfrage (NPS)





